https://bacsynhakhoa.vn/img/logo-galaxy-dental.png
GALAXY DENTAL CLINIC | Nha khoa thẩm mỹ Ngân Hà - Địa chỉ: Sô 6 Hoa Phượng, P2, Quận Phú Nhuận, TP HCM - fb/galaxydentalvn - Hotline: 0938 999 126 - Bs Trần Mừng
 

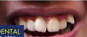
Tư vấn | Em có 2 răng mọc lệch ra ngoài



Câu hỏi

Dạ thưa bác sĩ, em có hai cái răng cửa hơi bị lớn và mọc lệch ra ngoài như thế này, em xin hỏi là có thể thay hai cái răng cửa này bằng răng khác được không ạ? và điều trị bằng cách nào, có phải bị nhổ răng không ạ, em muốn điều trị nhanh và ít cho phí thì nên chọn lựa loại nào? em xin chân thành cảm ơn​

Trà My


TRẢ LỜI


Khi bạn gặp phải tình trạng tương tự và nếu bạn có bất kỳ câu hỏi nào về nó, đừng ngần ngại, hãy đặt câu hỏi cho bác sỹ TẠI ĐÂY. Hoặc comment Tại đây. Hoặc call Hotline: 0938 999 126.

Hãy cho chúng tôi biết băn khoăn của bạn, chúng tôi sẽ nỗ lực hết mình để cùng với bạn tìm ra đáp án cho bạn. Biết là khó, không dễ dàng gì cả! Nhưng cùng nhau, chúng ta có thể.

Cảm ơn bạn đã đọc bài viết này


Chào em, 
Trong kỹ thuật điều trị thẩm mỹ cho hàm răng của nha khoa hiện nay có hai phương pháp điều trị cơ bản là niềng răng và bọc mão răng sứ.

Niềng răng là phương pháp điều trị giúp cải thiện vị trị của răng, ví dụ như răng hô, móm, lệch lạc trở nên đều đẹp; giúp chỉnh sửa khớp cắn đúng. Phương pháp này không có tác dụng chỉnh sửa hình dáng của răng (như răng lớn thành răng bé), không giúp chỉnh sửa được màu sắc của răng (như răng vàng thành răng trắng).


Bọc mão răng sứ thì ngược lại, có thể giúp điều trị thay đổi hình dáng cũng như màu sắc của răng trở nên trắng hơn, đẹp hơn. Nó chỉ có thể "làm đều" những răng lệch lạc nhẹ, mà không thể giúp thay đổi được vị trí của răng quá lệch lạc như phương pháp niềng răng 




Trong trường hợp em muốn điều trị nhanh thì em bọc sứ cho 4 răng cửa nhé. Em bị lệch 2 răng cửa nhưng nếu chỉ bọc 2 răng cửa thì sau khi bọc sẽ có răng đều nhưng 2 răng cửa này sẽ hơi nhỏ không đẹp. 

Răng sẽ được giữ lại để bọc sứ mà không cần phải nhổ đi em nhé


http://bacsynhakhoa.vn/img/rang-su-04.jpgRăng sứ là một loại răng rất đặc biệt. Nó được chế tạo bởi một quy trình phức tạp, kỹ lưỡng với hệ thống máy móc hiện đại. Nó là sản phẩm đặc biệt giữa sự điều trị trên lâm sàng của bác sĩ nha khoa với kỹ thuật viên làm việc tại phòng Lab.

Mão răng bao phủ và bọc lấy răng, đồng thời được gắn dính trên răng bởi xi măng gắn. Vì mão răng bao phủ toàn bộ bề mặt bên ngoài của răng, nên mão răng nếu thực hiện tốt, sẽ tạo nên hình dạng ngoài mới của răng.

https://bacsynhakhoa.vn/img/galaxy-dental-co-rang-tron-deu.jpg
Mão răng như một cách để tái tạo lại một răng bị sâu hay bị bể để răng có lại được hình dạng lúc đầu. Mão răng cũng là cách để giúp răng chắc hơn và là một phương pháp cải thiện vẻ ngoài thẩm mỹ cho răng.


Điều trị theo phương pháp này,  răng cần điều trị sẽ được mài nhỏ đi. Thường là mài đi hết lớp men răng. Sau đó, mão răng sứ sẽ được thực hiện để thay thế lớp men răng đó. Mão răng sứ sẽ giúp hồi phục hoàn toàn cả về chức năng thẩm mỹ cũng như chức năng ăn nhai.

Mặc dù phải mài răng cho nhỏ đi, nhưng nếu được thực hiện với kỹ thuật tốt, chọn loại sứ tốt thì chiếc răng sau khi được bọc mão răng sứ vẫn có độ bền tương đương với răng thật.

Răng sứ sau khi được thực hiện phải đảm bảo giống như răng thật cả về chức năng và thẩm mỹ, trong đó yếu tố chức năng ăn nhai được bác sĩ đặt lên hàng đầu. Cụ thể là răng sứ sau khi làm xong phải ăn nhai được như răng thật, có cảm giác thoải mái hoàn toàn như răng thật, không bị cấn cộm hay khó chịu sau khi điều trị.

Độ bền của răng sứ phụ thuộc vào chất lượng cùi răng (răng thật được mài nhỏ đi) và mão răng sứ lựa chọn trong quá trình điều trị. 

Làm răng sứ có đau không? Đây có lẽ sẽ là vấn đề mà không ít người quan tâm. Hãy cùng tìm hiểu thêm thông tin chi tiết về vấn đề này tại đây nhé.
Về thời gian điều trị: từ 2 ngày đến 3 ngày điều trị liên tục
Làm răng sứ, đúng quy trình kỹ thuật là mất 2 ngày điều trị liên tục, mỗi ngày điều trị khoảng 1 tiếng. Em có thể tham khảo thêm thông tin chi tiết về thời gian làm răng sứ tại đây nhé.
Tuy nhiên, làm răng sứ thẩm mỹ cho nhóm răng cửa trước thì yêu cầu thời gian nhiều hơn. Thường là khoảng 4 ngày điều trị. Quy trình kỹ thuật vẫn diễn ra trong 2 ngày là xong, thời gian còn lại là để chỉnh sửa thẩm mỹ cho răng sứ. Màu sắc, hình dáng của răng sẽ được chỉnh sửa theo quan điểm của bệnh nhân để có được sự hài lòng tối đa.

Trong suốt thời gian điều trị này, em sẽ được gắn răng tạm để vẫn có thể sinh hoạt, giao tiếp và làm việc bình thường. Chỉ có ăn uống là hơi khó chịu một chút.
Răng sứ hiện nay có nhiều loại, mỗi loại sẽ có vẻ thẩm mỹ (tối ưu), độ bền sử dụng và chi phí khác nhau. Hiện tại, Trung tâm Nha khoa Kỹ thuật cao Ngân Hà đang điều trị 4 loại răng sứ:

1. Răng sứ Kim loại: độ bền sử dụng khoảng trên dưới 5 năm. Sau khoảng thời gian này, răng sứ kim loại sẽ bị đen phần nướu răng, gây mất thẩm mỹ và phải làm lại.

Chi phí: 1.000.000 đ/ 1 đơn vị răng.

2. Răng sứ Titan: độ bền sử dụng khoảng trên dưới 15 năm. Chi phí: 2.000.000đ/1 đơn vị răng. Thời gian bảo hành: 5 năm

3. Răng toàn sứ không kim loại: Có tính thẩm mỹ rất cao, tương hợp gần như hoàn toàn với mô nướu răng nên điều trị bằng răng toàn sứ có tính chất bền vững lâu dài gần như răng thật.

- Răng sứ Zirconia (công nghệ CAD/CAM - làm răng sứ  với công nghệ tự động ) chi phí 3.000.000 đ / 1 đơn vị răng. Thời gian bảo hành: 10 năm

- Răng sứ Cercon: chi phí 4.000.000 đ/1 đơn vị răng. Thời gian bảo hành : 20 năm

Có thể tham khảo thông tin chi tiết hơn về các loại răng sứ Tại đây.

Trong giới hạn của bài viết Tư vấn, chúng tôi chỉ có thể cung cấp cho em một vài thông tin như vậy. Nếu thuận tiện, em hãy ghé phòng khám để bác sĩ khám trực tiếp và có tư vấn chi tiết, chính xác hơn cho em về kế hoạch điều trị. Khám và tư vấn hoàn toàn miễn phí.

Thân chào em,
Bs Trần Mừng - 0938999126
https://bacsynhakhoa.vn/img/logo-galaxy-dental.png

CÂU HỎI TƯƠNG TỰ Răng sứ - Mặt dán sứ VENEER:

© Copyright 2010 By bacsynhakhoa.vn - Trao kiến thức - Nhận nụ cười
Kênh thông tin tổng hợp của Trung tâm Nha khoa Kỹ thuật cao NGÂN HÀ - GALAXY DENTAL CLINIC
Fanpage: f/galaxydentalvn - Hotline: 0938 999 126 Bs Mừng


THIẾT KẾ BỞI MỸÝ - WWW.MYY.VN