https://bacsynhakhoa.vn/img/logo-galaxy-dental.png
GALAXY DENTAL CLINIC | Nha khoa thẩm mỹ Ngân Hà - Địa chỉ: Sô 6 Hoa Phượng, P2, Quận Phú Nhuận, TP HCM - fb/galaxydentalvn - Hotline: 0938 999 126 - Bs Trần Mừng
 
Tư vấn | Chỉnh răng cửa
Dạ hiện tại em khá tự ti với hàm răng của mình. Hàm dưới khá đều, tuy nhiên hàm trên lại hơi hô ra, và có 1 chiếc răng cửa bị lệch lên phía trên, nhìn rất ngộ... Cho em hỏi là em nên điều chỉnh bằng phương pháp gì và chi phí là bao nhiêu không ạ??

Tư vấn | Chỉnh răng cửa bị nhô ra ngoài do có một răng mọc phía trong
Răng cửa em bị nhô ra ngoài do răng dư ở phía trong mọc kèm theo hình ảnh thì em nên chỉnh sửa như thế nào?. Phương pháp nào và chi phí hết bao nhiêu.

Tư vấn | Răng cửa đã thay bị mẻ có mọc lại đc phần mẻ không ?
Thưa bác sĩ, cháu năm nay 15 tuổi đang học lớp 9, hôm nay trong lúc đùa với bạn thì chẳng may bị cây thước đập vào răng cửa gây mẻ phần dưới răng. Vậy bác sĩ cho cháu hỏi chiếc răng cửa đó của cháu còn có thể mọc lại phần bị mẻ không ạ? Xin cảm ơn bác sĩ .

Xử lí răng xấu
Em năm nay 32 tuổi, em có 1 cái răng cửa rất xấu mọc chồi ra bên ngoài do bên trong có 1 cái răng chuột nhọn. Em xin hỏi bác sỹ cách làm lại răng như thế nào cho đẹp, cần phải nhổ răng đi thay răng giả hay kẹp niềng? Chi phí làm răng hết bao nhiêu ạ? Em xin chân thành cảm ơn bác s ỹ.Em gửi hình ảnh hàm răng bác sỹ xem và tư vấn giúp ạ

Tư vấn | răng em mọc lộn xộn và bị móm nữa, làm thế nào cho đẹp?
Răng em lộn xộn và bị móm nữa, em không biết làm như thế nào cho đẹp?

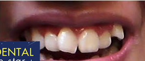
Tư vấn | Răng cửa bị bể
Tình trạng là răng cửa cháu bị mẻ như hình. Cũng không lớn lắm. Do va đập mạnh, khá lâu rồi (khoảng 3 năm). Lúc mới bị thì đau và lung lay, nhưng bây giờ thì không đau nữa và răng đã chắc lại rồi. Lần trước bác sĩ tư vấn là trám. Nhưng cháu thấy trám dễ mẻ phần trám vậy thì khá bất tiện trong việc ăn uống. Cháu thắc mắc không biết việc mài có thể thực hiện được không ạ?. Nếu mài có ảnh hưởng gì đến thẩm mĩ hay răng không ạ?

Tư vấn điều trị răng cửa lệch
Răng hiện tại của e như vậy nhờ nha khoa tư vấn giúp em làm phương pháp nào để cải thiện ạ, và làm thi chi phí hết bao nhiêu ạ! Cảm ơn nha khoa, mong được câu trả lời sớm ak 

Tư vấn | răng mọc lòi sỉ
Em có một chiếc răng bi lòi sĩ. Bây giờ em có thể chỉnh lại cho bằng nhau được không ạ. Nếu chỉnh được thì giá khoảng bao nhiêu?

Tư vấn | Răng bị thưa và hô nhiều
Chào bác sĩ. Răng em bị hô nhiều với thưa như thế này có thể khắc phục được không ạ? Nếu làm thì hết bao nhiêu tiền với thời gian lâu không ạ?

Tư vấn | Em muốn bọc răng cửa mọc lệch
Em muốn bọc răng cửa mọc lệch như thế này mất bao lâu ah? bọc một răng được không bác sỹ?

Tư vấn | Răng sứ gắn cố định rồi có thay đổi màu sắc được không?
Thưa BS, em mới gắn cố định 12 răng sứ titan. Sau đó mới thấy ko hài lòng với màu gần cổ chân răng vì NV labo cố tình pha màu hơi sậm cho giống mấy răng phía trong. Hiện giờ em thấy màu sậm đó ko cần thiết. Có cách nào khắc phục ko ạ? Em cảm ơn.

Tư vấn | cách chữa tri lệch hàm do răng sâu
Thưa bác sĩ trước đây cháu từng gửi câu hỏi về việc hồi nhỏ cháu bị sâu răng ba cái , 2 cái bên phải và 1 bên trái tất cả đều là răng cấm ạ. Hiện giờ càng ngày mặt cháu càng ngày càng lêch ra và bây giờ cháu muốn trồng lại răng giả liệu nó có giúp phục hồi lại hàm cháu bình thường không và mất thời gian bao nhiêu, chi phí điều trị hết bao nhiêu. Mong nhận được hồi âm sớm từ bác sĩ. Cháu xin cảm ơn,

Tư vấn | Nắn chỉnh răng bị hô
Em bị hô hàm trên, em muốn bọc răng sứ hoàn toàn thì chi phí nắn chỉnh tốn bao nhiêu ạ? có khó làm không ạ?

Tư vấn | Trồng răng sau khi nhổ răng
Em mới nhổ răng số 3 hàm trên đc 4 ngày. Và em muốn trồng răng thì có những cách làm nào ạ? Em thấy bảo phải làm 1 cầu 3 răng nhưng bạn em cũng mất 1 răng mà trồng răng thì k cần phải làm cầu 3 răng. Rất mong nhận đc sự phản hồi sớm. Em xin chân thành cảm ơn ạ!

Tư vấn | Em có 2 răng mọc lệch ra ngoài
Dạ thưa bác sĩ, em có hai cái răng cửa hơi bị lớn và mọc lệch ra ngoài như thế này, em xin hỏi là có thể thay hai cái răng cửa này bằng răng khác được không ạ? và điều trị bằng cách nào, có phải bị nhổ răng không ạ, em muốn điều trị nhanh và ít cho phí thì nên chọn lựa loại nào? em xin chân thành cảm ơn​

Tư vấn | chỉnh sữa răng cửa to và nhô ra ngoài
Bác sĩ cho cháu hỏi răng cửa của cháu bị to, nhô ra ngoài và 2 hàm lệnh nhau thì nên niềng răng hay bọc răng sứ ạ? chi phí như thế nào ạ?

Tư vấn | Làm răng nanh ma cà rồng
Em muốn làm cho răng nanh dài ra hết cở. Hoặc trồng răng nanh cho răng dài ra như ma cà rồng thì giá dao động khoảng bao nhiêu vậy Bác sĩ

Tư vấn | trám răng cửa bị bể có thấy không?
Bác sĩ cho em hỏi răng cửa em bị bể một miếng nhỏ. Vậy khi trám lại có thấy không và giá cả bao nhiêu ạ?

Tư vấn | Răng đã chữa tủy gần 10 năm, bây giờ bọc răng sứ có được không?
Bác sĩ ơi, cho em hỏi về vấn đề bọc răng sứ cho răng đã chữa tủy ạ.Năm 2007, 2008 (em sinh năm 90) gì đó em bị đau răng cửa, đi phòng khám nha thì bs đó đè ra chữa tủy luôn mà chẳng nói gì nên em cũng không biết răng đó của mình đã bị chữa tủy, sau này cái răng cửa này càng lúc càng ố thâm màu vàng, e lên mạng xem thì mới biết răng đó của mình đã bị chữa tủy. Bây giờ cái răng cửa này còn bị sâu kẽ răng nữa. Hiện tại e đang điều trị tủy và chuẩn bị bọc sứ răng số 46. Bs điều trị nói bọc luôn răng cửa đi vì nó ố mất thẩm mỹ, nhưng vấn đề là răng cửa này đã gần 10 năm "chết" rồi, e nghe nói khó mà bọc sứ hoặc dễ vỡ lúc mài cùi lắm, e rất sợ đau và sức chịu đựng kém nên e ko biết phải làm gì với cái răng cửa này bây giờ? Không lẽ mạo hiểm bọc sứ? Hay là chờ nó hư rồi nhổ trồng răng giả? E băn khoăn và lo lắng quá vì nó là răng ngay mặt tiền. Mong bác sĩ giải đáp giùm em nhé. Em cảm ơn nhiều.

Tư vấn răng cửa bị lệch
Răng cửa cửa em bị lệch 1 cái nhô lên và 1 cái xuống. vậy em muốn sửa cho thẩm mỷ cần sử dụng phương pháp nào ạ.. phương pháp mảo răng sứ có thích hợp ko ạ?? em xin cảm ơn.

Tư vấn | Hai răng cửa to và vểnh ra ngoài
Bác sĩ ơi cho em hỏi: em có hai răng cửa to và vểnh ra ngoài thì nên niềng hay bọc mão răng sứ thì tốt ạ. Với thời gian làm thì có lâu không ạ?

Điều trị thẩm mỹ cho răng cửa lệch bằng răng sứ có được không
Răng cửa của em mọc lệch ra ngoài như vậy thì làm răng sứ có được không ạ? Mất bao lâu thời gian bác sĩ. Số tiền là bao nhiêu?

Tư vấn làm răng móm bằng răng sứ
Em muốn tư vấn làm răng sứ cho hàm móm. Răng cửa hàm trên của em nằm bên trong của hàm dưới không biết làm răng sứ có được không vì em không có nhiều thời gian. Nếu được thì làm mất bao lâu và chi phí như thế nào ạ. Em xin cám ơn

Tư vấn chỉnh răng hô
Chào bác sĩ, năm nay e 22 tuổi. E muốn nhờ bs tư vấn giúp e. E thấy răng bị hô nhẹ thì bọc sứ có làm răng răng đẹp hơn không ạ. Và chi phi, thời gian thế nào ạ? E cám ơn bác sĩ.

Tư vấn | Trồng sứ cho răng chết tủy hết bao nhiêu tiền?
Chào bác sĩ, 1 răng cửa của e đã bị chết tủy, e muốn bọc sứ lại, và thay răng nào thì hợp lí, chi phí như nào. Cảm ơn bác sĩ.

Tư vấn | Điều trị răng hô mà không phải niềng răng
Em năm nay 21 tuổi. Răng em hô nên rất ngại giao tiếp, vậy bác sỹ cho em hỏi có cách nào điều trị mà răng hô mà không phải niềng răng không ạ. bác sỉ cho e lời khuyên

Tư vấn | Điều trị răng cho thẳng hàng
Xin chào bác sĩ. Người bạn em lần trước cũng làm răng ở chỗ này. Em muốn hỏi bác sĩ là răng em muốn bẻ đi với thẳng hàng có được không? Và phải tự nhiên nữa!

Tư vấn | Tẩy trắng răng và bọc mão sứ hết bao nhiêu tiền?
Bs cho em hỏi răng em tẩy trắng với bọc mão thì bao nhiêu tiền? làm có lâu không?. Em đang ở Mỹ, em định năm sau về làm răng.

Tư vấn | Điều trị răng cửa lệch hình chữ V
Chào bác sĩ. Em có hai răng cửa mọc lệch theo hình chữ V. Em muốn hỏi là giờ điều trị bằng cách nào cho đẹp ạ? Thời gian và chi phí như thế nào ạ. Em xin cám ơn.

Tư vấn | Niềng răng hay bọc sứ cho răng lệch
Chào bác Mừng. Em có người bạn giới thiệu bác vì bạn ấy đã làm răng ở chỗ bác. Răng cửa của em bị lệch cái ra cái vô, như hình. Bác cho em hỏi là giờ em nên niềng hay bọc sứ ạ? Em thì thích niềng nhưng lại không có thời gian. Em xin cám ơn bác nhiều ạ

Tư vấn | Điều trị răng thưa
Thưa bác sĩ, cháu năm nay 22 tuổi, răng hàm trên bị thưa nên cháu cảm thấy không thoải mái khi cười. Vậy bác sĩ cho cháu hỏi có phương pháp điều trị nào mà không phải niềng răng, thời gian điều trị nhanh và chi phi như thế nào không ạ? Cháu cảm ơn bác sĩ.

Tư vấn | Trồng răng 36
Chào bác Mừng. Em được bạn giới thiệu bác. Em bị mất R36 được 2 năm nay. Giờ em muốn trồng lại thì nên trồng bằng cách nào ạ? Em xin cám ơn.

Tư vấn | Màu răng sứ không giống
Chào Nha Sỹ. Vừa rồi em có làm 3 răng sứ, đã gắn cố định nhưng khi ra ngoài, ánh sáng tự nhiên thì phát hiện màu không giống , như vậy có cách nào sửa được nữa không ah ngoài việc làm lại từ đầu? Em cám ơn bác sĩ

Tư vấn | Bọc răng sứ gây viêm nướu
Xin chào bác sĩ Galaxy Dental ạ! Em bọc răng sứ đã được 2 năm, e bọc 4 chiếc răng cửa, đánh răng thường chảy máu ở 4 chiếc răng này, hiện tại trên nứu răng vị trí của 4 chiếc răng bọc sứ bị sưng và màu sẫm hơn so với bình thường, nhưng không đau. E có đến nơi làm răng cho e để bảo hành vì răng e được bảo hành từ 3-5 năm, nhưng họ nói không bị sao chỉ viêm lợi nhẹ, mua thuốc về bôi. E về bôi thuốc và uống thuốc chống viêm nữa gần nữa tháng nhưng vẫn không đỡ. E muốn hỏi tình trạng răng của em có nghiêm trọng không? và cách chữa trị tình trạng răng của e như thế nào?

Tư vấn | làm răng sứ thì bao nhiêu lâu phải đi làm lại?
Chào các bác sỹ nha khoa, e muốn hỏi, bọc mão răng sư thì bao lâu thì phải đi làm lại?

Tư vấn | răng cửa bị gãy bọc sứ được không?
Em có 2 chiếc răng cửa bị sâu, bị gẫy chỉ còn chân. Cho em hỏi giờ em muốn trồng răng sứ có còn được không ạ?


© Copyright 2010 By bacsynhakhoa.vn - Trao kiến thức - Nhận nụ cười
Kênh thông tin tổng hợp của Trung tâm Nha khoa Kỹ thuật cao NGÂN HÀ - GALAXY DENTAL CLINIC
Fanpage: f/galaxydentalvn - Hotline: 0938 999 126 Bs Mừng


THIẾT KẾ BỞI MỸÝ - WWW.MYY.VN